Smile Bright Like A Firework: Essential Dental Care Tips For This Independence Day!
A time for celebration, Independence Day is marked with fireworks, delicious food, and cherished moments with loved ones. While preparing to enjoy the festivities, don’t forget to keep your smile healthy. A radiant, strong smile adds confidence to every celebration....
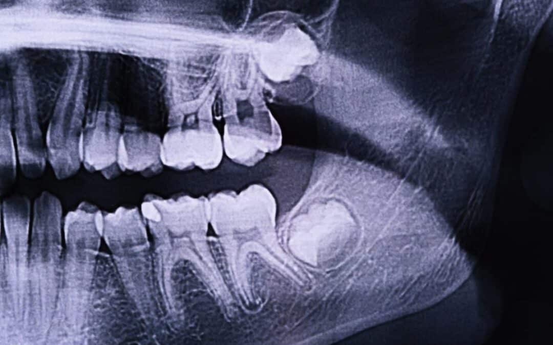
Guide To Early Signs of Wisdom Tooth Infection and What Treatment You Can Get
A person’s mouth is often too small to comfortably accommodate the extra four wisdom teeth that emerge in adulthood. This leads to constant pressure on the adjacent teeth, which ultimately results in pain. Molar teeth frequently come in at angles or slightly...
Immediate Steps If Your Gum Abscess Pops
A gum abscess is a painful pocket of pus caused by a bacterial infection deep within the gums. It usually forms as a result of untreated tooth decay, gum disease, or trauma. When an abscess suddenly bursts, it can release foul-tasting pus, cause a rush of pain relief,...
Are Your Suffering From Teeth Grinding?
Teeth grinding is a common dental issue that affects many people. It is medically called bruxism. In this condition, the teeth rub or squeeze against each other, which is why it is also called grinding. It can happen anytime, but it mostly occurs at night when people...