Guide To Early Signs of Wisdom Tooth Infection and What Treatment You Can Get

by | Jun 13, 2025 | Dental Care

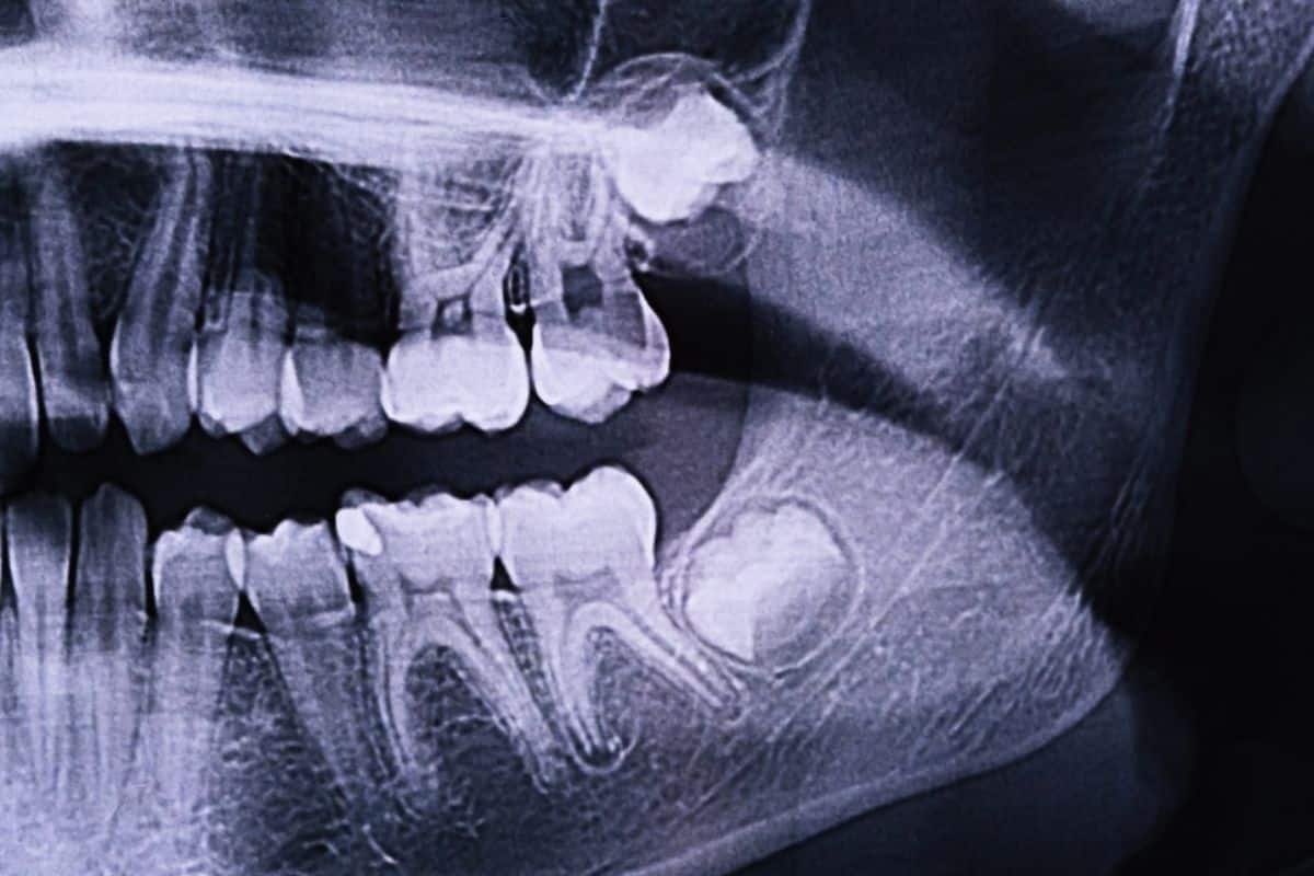
A person’s mouth is often too small to comfortably accommodate the extra four wisdom teeth that emerge in adulthood. This leads to constant pressure on the adjacent teeth, which ultimately results in pain. Molar teeth frequently come in at angles or slightly protrude above the gumline, creating issues for the neighboring teeth. All these problems significantly raise the chances of infection in the wisdom teeth, complicating the overall situation. Most dental practitioners recommend preventive care to avoid these scenarios altogether.

Anyone who has experienced a wisdom tooth infection knows the pain can be excruciating. However, this pain is not always the first sign of an infection. By recognizing the early symptoms, the treatment process can be much smoother and help prevent further complications. In this blog, discover the early signs of wisdom tooth infections and the treatment options available to resolve the issue.

What Leads to Infections in Wisdom Teeth?

Your third set of molars, also referred to as wisdom teeth, might become impacted if they don’t emerge fully or correctly. A wisdom tooth infection can occur when a wisdom tooth erupts partially. It happens because in the opening area, bacteria forms since it becomes extremely difficult to clean.

A wisdom tooth infection, sometimes referred to as pericoronitis, is a dangerous condition that can be challenging to cure. This is due to the fact that a flap of gum will conceal the area where your wisdom teeth partially erupt. As long as this flap of gum remains, your wisdom tooth won’t come in fully. However, unless the wisdom teeth are extracted, the infection is not likely to clear up.

What Are the Symptoms and Signs of a Wisdom Tooth Infection?

You might feel discomfort in or around the tooth when you have an infection in your wisdom teeth. The side of your face or your jaw may also be painful. A wisdom tooth infection can cause multiple early signs, which may be the initial symptoms of a wisdom tooth infection. Here are the signs of wisdom teeth infection you should look for:

  • You might have difficulty opening your mouth
  • It becomes tough for you to perform simple tasks, such as chewing and swallowing.
  • You might have seen pus coming from the gum without any apparent reason.
  • There will be a constant bad taste in your mouth even after you brush.
  • Your jaw might become stiff, and you will feel discomfort.
  • Many people also experience headaches on the side where the wisdom tooth is infected.
  • You might feel a sore throat without any explanation.

There is a chance that a serious wisdom tooth infection will spread to the jaw, mouth, and upper respiratory tract. Sepsis, a severe immunological reaction to an infection, can occasionally be brought on by the illness. So, ensure to detect the symptoms to reduce the chances of further issues.

Treatment Options for Wisdom Teeth Infection

Infections of wisdom teeth can be treated in a variety of ways, such as non-surgically or surgically. Your dentist may decide to leave your wisdom teeth in place and monitor them over time if they have erupted without any issues. Here are the methods to treat them:

Non-surgery Treatment

Your dentist might suggest a conservative course of therapy if you start to feel discomfort from an infection. This might include using over-the-counter painkillers, antibiotics for the infection, mouthwashes, or saltwater rinses. If you believe you have an infection, you should see a dentist regardless of whether you decide to have surgery. You can take some over-the-counter painkillers, rinse with salt water, or apply an ice pack to minimize swelling. For people who would rather not have surgery but have certain medical issues, such as bleeding, these techniques may work well. However, surgery can be your best option for relief if the infection in your wisdom teeth gets worse.

The Surgical Approach

One popular strategy for preventing issues like wisdom tooth infection is surgical extraction. Many dental practitioners would advise extraction in order to stop additional wisdom tooth infections. It is like this because most wisdom teeth must be extracted. Other treatment alternatives can be available if surgery is not an option for you.

Book an Appointment with Us

Are you experiencing the signs we mentioned earlier in the blog? If so, then neglecting the situation or the symptoms will only exacerbate the infection. As we mentioned earlier, it could be treated much more easily if the infection were detected in its initial stage. So don’t wait any longer and schedule a consultation with us online. At All In One Dental Innovations, we offer tooth extraction services and routine checkups for regular dental care.